El hueso hioides se ubica en la zona anterior del cuello por debajo de la lengua y por encima del cartílago tiroides. En una teleradiografía lo encontramos por anterior a las vértebras C3 y C4. Así forma un enlace entre la cabeza y el cuello, sirviendo como punto de fijación a músculos y ligamentos que se insertan en la base del cráneo, mandíbula, escapula y mediastino superior. Está conectado con la columna cervical a través de las fascias cervicales.
![]() |
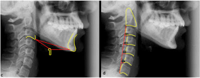
POSICIÓN DEL HUESO HIOIDES
Esta puede ser afectada por el espacio aéreo de la faringe, las funciones linguales, la posición de la columna cervical y la morfología craneofacial. Por ejemplo en sujetos de caras cortas se encuentra un hioides anteriorizado ocurriendo lo inverso en sujetos de caras largas.
Estudios preliminares plantean que el ángulo formado entre el plano de Frankfurt y el plano mandibular puede ser un predictor del desplazamiento del hioides durante la deglución, sabiendo que el movimiento normal del hioides es hacia adelante y hacia arriba.
La posición de la lengua, vías aéreas estrechas e importantes extensiones cráneo-cervicales pueden determinar una postura descendida del hioides. Un estrechamiento en el espacio faríngeo puede ser un factor predisponente para el síndrome de apnea obstructiva del sueño , lo que se ha observado en niños con este síndrome donde el hioides estaba posicionado más anterior e inferior de lo normal.
Behlfelt (1990) encontró que niños con amígdalas hipertróficas tienen una posición descendida del hioides probablemente relacionado con los cambios posturales que debe realizar para lograr una respiración bucal, entre estos la extensión de columna cervical.
Chaves y cols. observaron que niños con asma y respiración bucal presentaban un ángulo cráneo vertebral de Rocabado reducido, teniendo como adaptación respiratoria la extensión de cabeza. Junto con este cambio angular observado del ángulo cráneo-vertebral, estos niños presentaron frecuentemente triángulos hioideos ausentes o invertidos.
La disminución del ángulo formado por el plano de Frankfurt y el plano mandibular disminuye disminuye el desplazamiento anterior del hioides durante la deglución debido a que los músculos genihioideos estarían en una posición de desventaja mecánica. Por consiguiente la morfología cráneofacial podría afectar la biomecánica de la musculatura suprahioidea durante la deglución.
En cuanto a la relación entre la posición del hioides y los desordenes o trastornos temporomandibulares (DTM o TTM) no existe por ahora mayor evidencia que los correlacione, como señala el estudio realizado por Andrade en pacientes con TTM. Demostró que el hioides se mantiene estable en relación a la columna cervical y no parece estar influenciado por los TTM.
















